Dr. Jorge Arturo Cuevas | iDental Colima

Perfil

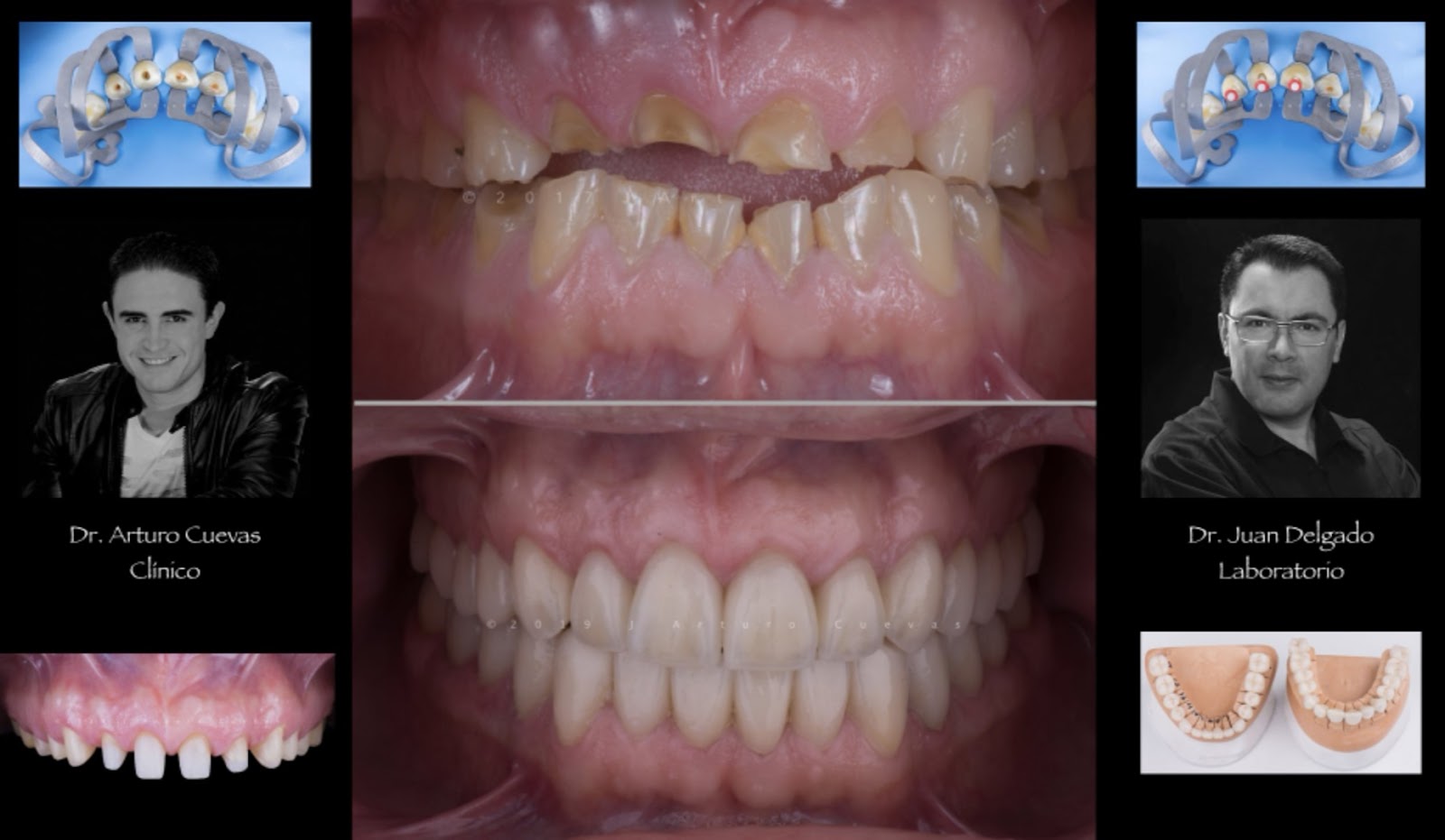
Fotos

Mapa

Loading…

Opiniones

Deja un Comentario

Es tu Listado?

Similar places